Introducción
Las roturas fibrilares son una de las lesiones musculares más frecuentes, especialmente en deportistas y personas físicamente activas. Suelen producirse por un estiramiento excesivo o un esfuerzo explosivo que supera la capacidad de resistencia de las fibras musculares. En este artículo compartimos un caso real tratado en nuestra clínica de fisioterapia, con una recuperación completa tras una rotura fibrilar de isquiotibiales, mostrando la evolución y los resultados obtenidos.
El caso inicial
Un paciente masculino de 32 años acudió a consulta tras sentir un “pinchazo” súbito en la parte posterior del muslo mientras realizaba un sprint durante un entrenamiento.
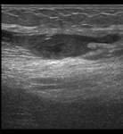
- Diagnóstico inicial: rotura fibrilar grado II en isquiotibiales (confirmada mediante ecografía).
- Síntomas: dolor agudo localizado, hematoma visible y dificultad para apoyar el pie en la marcha.
- Objetivo del tratamiento: recuperación completa de la fuerza, movilidad y confianza para volver a la práctica deportiva sin riesgo de recaída.
Proceso de tratamiento y evolución
El abordaje se dividió en fases progresivas, adaptadas a la evolución clínica y al control ecográfico.
1. Fase aguda (primeros 5-7 días)
- Crioterapia y control del dolor.
- Vendaje funcional para limitar el sangrado y proteger la zona.
- Movilización suave sin carga.


2. Fase subaguda (2ª y 3ª semana)
- Técnicas manuales y fisioterapia instrumental (electroterapia, radiofrecuencia).
- Ejercicios de movilidad progresiva sin dolor.
- Trabajo de activación isométrica del grupo muscular.

3. Fase de fortalecimiento (4ª a 6ª semana)
- Trabajo excéntrico controlado de isquiotibiales.
- Ejercicios de core y glúteos para compensación muscular.
- Progresión a ejercicios dinámicos y resistidos.

4. Vuelta a la actividad deportiva (a partir de la 7ª semana)
- Entrenamiento específico de carrera y cambios de ritmo.
- Prevención de recaídas mediante técnica de sprint y fortalecimiento global.
- Alta deportiva tras test funcionales sin dolor.
Imagen sugerida: Foto comparativa antes/después: paciente entrenando de nuevo en pista o simulando sprint.
Resultado final
Tras 8 semanas de tratamiento, el paciente logró una recuperación completa, reincorporándose a su actividad deportiva sin molestias ni limitaciones. La ecografía de control mostró una adecuada cicatrización de las fibras, y los test de fuerza confirmaron simetría con la pierna contralateral.
Conclusión
La recuperación de una rotura fibrilar depende de un abordaje individualizado, supervisado y progresivo, que combine terapia manual, fisioterapia avanzada y readaptación al esfuerzo. Este caso real demuestra que, con la metodología adecuada, es posible volver al deporte con plenas garantías y minimizar el riesgo de recaída.

